AXEOS
El sistema especializado 2D / 3D con un gran volumen y alta calidad de imagen para clínicas con una amplia oferta de tratamientos.
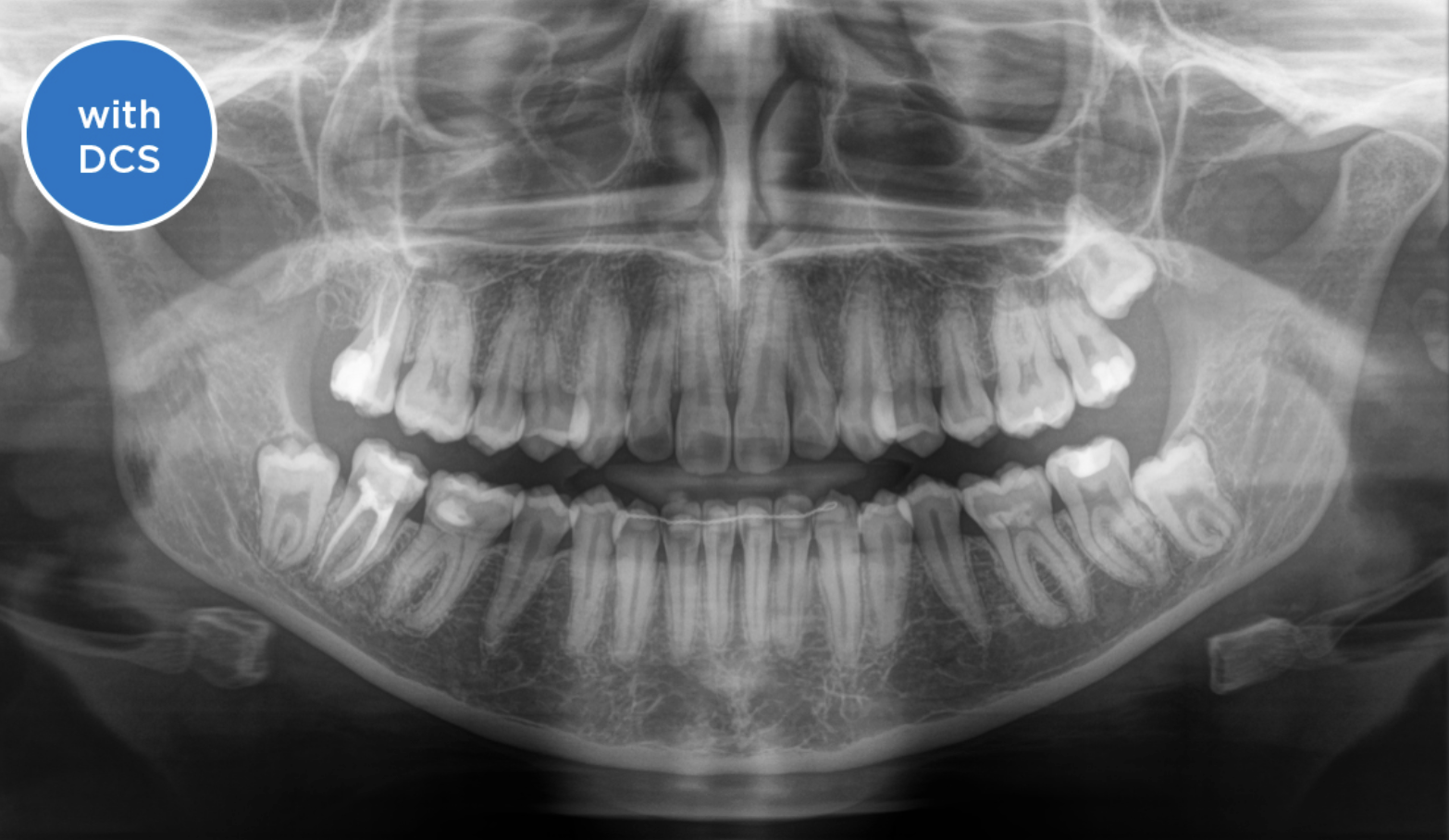
Imágenes panorámicas excepcionales con alta nitidez

El sensor de conversión directa (Direct Conversion Sensor, DCS) ha revolucionado el estándar de la imagen panorámica. Las imágenes radiológicas se convierten directamente en señales eléctricas. Por lo tanto, no hay pérdida de señal debido a conversión de la luz, como es el caso de los sistemas convencionales. El resultado: imágenes con un alto nivel de nitidez y contraste, incluso con una dosis de radiación extremadamente baja. Para obtener información de diagnóstico precisa a fin de apoyar el tratamiento objetivo.
Características y datos técnicos
- Tiempo de exposición panorámica P1: máx. 14,2 s y P1 de toma rápida: máx. 9,1 s
- Tiempo de exposición cefalométrica estándar 9,4 s y toma rápida 4,7 s
- Interfaz de usuario nuevo EasyPad
- Posicionamiento del paciente automático (bloque de mordida oclusal)
- Ajuste inteligente de la altura
- Tecnología panorámica: DCS
- Luz ambiental parte posterior y gabinete iluminados
- Volumen de imagen (pxa) 5 cm x 5,5 cm a 17 cm x 13 cm
- MARS: software de reducción de artefactos metálicos
- Dosis baja inteligente
- Modo HD
- Opcional al momento de la compra o puede agregarse retroactivamente más adelante.
- El brazo puede montarse en el lado derecho o izquierdo de la unidad según su preferencia y requisitos de espacio.
- Mediante el uso de un sensor exclusivo, obtiene imágenes p. a. o a. p. laterales y simétricas, e imágenes del carpo.
¿Por qué elegir Axeos?
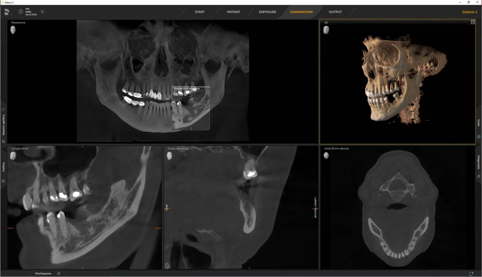
Amplio rango de campo visual de Ø 5 cm x 5,5 cm a Ø 17 cm x 13 cm
Los numerosos tamaños de volumen garantizan la flexibilidad en la práctica diaria. Examine un área precisa o evalúe la dentición completa, lo que incluye las ATM
2D único Sensor DCS con autofoco. Amplia gama de programas cefalométricos
Para obtener imágenes panorámicas excepcionales con alta nitidez. Puede elegir un brazo cefalométrico derecho o izquierdo opcional, que puede reacondicionarse en cualquier momento
Concepto de posicionamiento del paciente y asistente de imagen
Para obtener imágenes panorámicas excepcionales con alta nitidez. Puede elegir un brazo cefalométrico derecho o izquierdo opcional, que puede reacondicionarse en cualquier momento
Ajuste inteligente de la altura
Para flujos de trabajo eficientes y menores tiempos de espera. El ajuste inteligente de la altura ajusta automáticamente la unidad a la altura de cada paciente en función de la configuración almacenada en las visitas anteriores
Dosis baja inteligente y función HD
Con el modo de dosis baja inteligente, obtiene radiografías 3D en el rango de dosis de una 2D. En el modo HD (hasta 1400), las imágenes individuales se obtienen durante una única rotación y se convierten en un volumen 3D con hasta 80 μm para imágenes de bajo ruido en alta resolución
Integración con redes DSO y clínicas grandes
Gracias a la conectividad con PACS, RIS, lista de trabajo DICOM e impresoras DICOM. Imágenes radiológicas de acuerdo con el estándar DICOM
Gabinete integrado con luz ambiental
Para un almacenamiento conveniente de los posicionadores de mordida, el gabinete integrado tiene iluminación interior y está al alcance del operador
Tamaños de volumen para sus necesidades
Examine un área precisa con un campo de visión de Ø 5 x 5,5 cm o evalúe la dentición completa, lo que incluye las articulaciones temporomandibulares con Ø 17 x 13 cm.
Ø 11 c.m x 10 cm HD
Ø 17 c.m x 13 cm HD
Ø 11 cm X 10 cm HD
Ø 17 c.m x 13 cm HD
Ø 8 c.m x 5 cm Definición estándar
Ø 11 c.m x 10 cm HD
Galería de imágenes cefalométricas
¡Contáctanos!